Preserving knee function after a rare high-risk knee tumour
JANUARY 22, 2026
751 Views
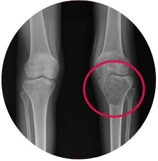
A 26 years old patient came to MIOT International with severe pain in the left knee and an inability to walk. What initially appeared as a musculoskeletal issue was soon diagnosed as something far more serious – a large, rare tumour involving the upper part of the leg bone near the knee. The location of the tumour made this a high-risk and limb-threatening condition. Conventional treatment would likely have resulted in permanent loss of knee movement, or even loss of the leg.
Thanks to MIOT International’s multidisciplinary expertise, advanced surgical planning, and tumour prosthesis reconstruction, the patient not only survived the condition but walked back home with preserved knee function.
The Diagnosis (A Rare Tumour in the Left Knee)
The patient presented with:
Severe, persistent knee pain
Difficulty bearing weight
Inability to walk normally
Imaging and diagnostic tests revealed a large tumour affecting the upper tibia (leg bone near the knee). The growth was aggressive and located very close to major blood vessels and nerves. This placed the patient at high risk of limb loss and potential malignant transformation.
The tumour’s location made surgery extremely complex:
Close proximity to major arteries, veins, and nerves
Risk of:
Severe bleeding
Nerve damage
Loss of knee movement
Amputation in extreme scenarios
In most conventional approaches, the tumour would be removed and the knee joint permanently fused, leaving the leg rigid and immobile.
MIOT’s Multidisciplinary Approach
At MIOT International, this case was managed by a multidisciplinary tumour and joint reconstruction team, including:
Orthopaedics
Trauma surgeons
Knee replacement specialists
Plastic and reconstructive surgeons
Oncologists
Rehabilitation experts
Together, planned every step to ensure:
Complete tumour removal
Oncological safety
Preservation of limb and knee movement
MIOT’s joint replacement team alone brings:
40+ years of experience
Over 40,000 joint replacement surgeries
MIOT’s Surgical Innovation
Conventional approach:
Remove tumour
Fuse the knee
Permanent loss of movement
MIOT’s approach:
Complete excision of the tumour
Removal of the affected bone segment
Replacement with a custom tumour prosthesis (special metal implant)
Reconstruction of surrounding soft tissues
Restoration of knee stability and mobility
Before
After
This technique allowed the knee to:
Bend
Bear weight
Function close to normal
Life-Changing Outcome
After surgery and rehabilitation:
The tumour was completely removed
Risk of cancer development and spread was eliminated
The knee joint was preserved
The patient walked again
The leg was saved from amputation
Quality of life was restored
This reflects what is possible when experience, technology, and teamwork come together. At MIOT International, we do not just treat conditions — we restore lives, mobility, and hope.
A 26 years old patient came to MIOT International with severe pain in the left knee and an inability to walk. What initially appeared as a musculoskeletal issue was soon diagnosed as something far more serious – a large, rare tumour involving the upper part of the leg bone near the knee. The location of the tumour made this a high-risk and limb-threatening condition. Conventional treatment would likely have resulted in permanent loss of knee movement, or even loss of the leg.
Thanks to MIOT International’s multidisciplinary expertise, advanced surgical planning, and tumour prosthesis reconstruction, the patient not only survived the condition but walked back home with preserved knee function.
The Diagnosis (A Rare Tumour in the Left Knee)
The tumour’s location made surgery extremely complex:
In most conventional approaches, the tumour would be removed and the knee joint permanently fused, leaving the leg rigid and immobile.
MIOT’s Multidisciplinary Approach
At MIOT International, this case was managed by a multidisciplinary tumour and joint reconstruction team, including:
Together, planned every step to ensure:
MIOT’s joint replacement team alone brings:
MIOT’s Surgical Innovation
Conventional approach:
MIOT’s approach:
Before
After
This technique allowed the knee to:
Life-Changing Outcome
After surgery and rehabilitation:
This reflects what is possible when experience, technology, and teamwork come together. At MIOT International, we do not just treat conditions — we restore lives, mobility, and hope.
To know more about MIOT Institute of Orthopaedics visit: https://www.miotinternational.com/centers-of-excellence/miot-institute-of-orthopaedics/joint-replacement-and-revision-surgery/
Leave an Enquiry