Geriatric elbow fracture treated successfully with Total Elbow Replacement
MARCH 5, 2018
2854 Views
Mrs. Kalyani, a 57yr old lady was brought to MIOT on 20th July, 2016 in an ambulance. She met with a road traffic accident 2 days back. The car in which she was travelling hit against a divider. Sitting in the rear seat, Mrs. Kalyani put all the force on her hands to stop her falling front. Her elbows took a hit and she started experiencing pain in her left upper arm region.
She was immediately rushed to the Ulundurpettai Government Hospital where she was given first aid and shifted to a private hospital. On investigations, she was diagnosed with left elbow fracture. They advised for surgery, but said that they cannot give any assurance.
Approach to MIOT:
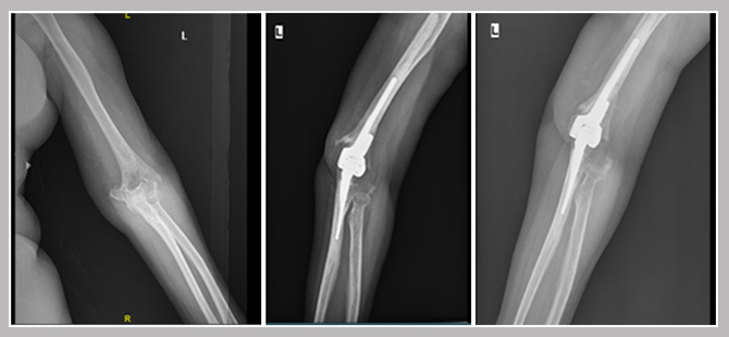
Her relative referred them to MIOT. She arrived here with her left arm in POP, swollen elbow, pain and inability to move the elbow. She met the upper limb specialist and was advised for radiological investigations. She was diagnosed to have displaced low trans-condylar fracture lower end of humerus (the lower end of arm bone was broken).
Risk involved:
The Doctor informed about the various treatment options. Conservative treatment would lead to stiffness of elbow and non-healing of fracture. Surgical intervention is the usual procedure of choice in general orthopedic practice. But she was a known case of Rheumatoid arthritis for last 10 years which posed a high risk of failure.
The 10yr long medication had caused her to develop Osteoporosis. The bone fragments being osteoporotic and joint being arthritic, often leads to poor outcome in this age group. She was also suffering from Drug induced Diabetes Mellitus, Hypertension (High Blood pressure) and hypothyroidism which added more risk. But the Doctor gave them assurance and with that hope she was taken up for Total Elbow Replacement surgery on 27th August, 2016.
Treatment:
She underwent primary Total Elbow Replacement. In this surgery, the broken fragments are excised and a complex hinge type total joint prosthesis was implanted in arm and forearm bones together. After surgery, the arm was rested in splint for 24 hrs and from the next day she started full mobilization of elbow joint with the aid of physiotherapy.
Recovery:
She was advised to use the operated arm in her daily activities but to avoid heavy work and lifting. She regained full movement of her broken elbow joint in six weeks and was back to her routines. She was reviewed at every 3months interval. An x-ray taken 1yr post surgery shows no evidence of fracture. She also has no pain and can do full range of hand movements.
She was immediately rushed to the Ulundurpettai Government Hospital where she was given first aid and shifted to a private hospital. On investigations, she was diagnosed with left elbow fracture. They advised for surgery, but said that they cannot give any assurance.
Approach to MIOT:
Her relative referred them to MIOT. She arrived here with her left arm in POP, swollen elbow, pain and inability to move the elbow. She met the upper limb specialist and was advised for radiological investigations. She was diagnosed to have displaced low trans-condylar fracture lower end of humerus (the lower end of arm bone was broken).
Risk involved:
The Doctor informed about the various treatment options. Conservative treatment would lead to stiffness of elbow and non-healing of fracture. Surgical intervention is the usual procedure of choice in general orthopedic practice. But she was a known case of Rheumatoid arthritis for last 10 years which posed a high risk of failure.
The 10yr long medication had caused her to develop Osteoporosis. The bone fragments being osteoporotic and joint being arthritic, often leads to poor outcome in this age group. She was also suffering from Drug induced Diabetes Mellitus, Hypertension (High Blood pressure) and hypothyroidism which added more risk. But the Doctor gave them assurance and with that hope she was taken up for Total Elbow Replacement surgery on 27th August, 2016.
Treatment:
She underwent primary Total Elbow Replacement. In this surgery, the broken fragments are excised and a complex hinge type total joint prosthesis was implanted in arm and forearm bones together. After surgery, the arm was rested in splint for 24 hrs and from the next day she started full mobilization of elbow joint with the aid of physiotherapy.
Recovery:
She was advised to use the operated arm in her daily activities but to avoid heavy work and lifting. She regained full movement of her broken elbow joint in six weeks and was back to her routines. She was reviewed at every 3months interval. An x-ray taken 1yr post surgery shows no evidence of fracture. She also has no pain and can do full range of hand movements.
Leave an Enquiry